2017年1月26日の活動

茨木市のコンビニ前0126_01


大阪・西成『子供の里』見学。

0126_02

0126_03

職員の方やお子さんと話が出来ました。
 里子5人が2階で生活。1階に30人くらいの子供たちが来る。
 通常の視察では、職員と子供が話している所には遭遇できにくいと思います。次回は、館長さんのお話が伺えれば。
映画「さとにきたらええやん」予告編

『西成こども食堂』の川辺 康子さんを紹介して頂き、お話を伺う。
 4年前からこども食堂を実施。火・土曜。クリスマス会時150人参加。
 大人に100円でも取ったら来れない。ご自身も西成出身。学習支援も。
 子供から相談する事って無さそうだけど、意外と相談がある。子供だから分からないと思わない。

 
公開円卓会議『テーマ 子どもを取り巻く貧困』に出席(堺市)

虐待殺人件数(全国)0126_04(埼玉県庁は心中件数を把握していない)

 
養育費をもらえている母子家庭は、2割以下0126_05

0126_06(埼玉県庁は、3位なりの対応策が出来ていない)

 
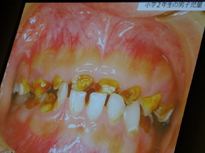
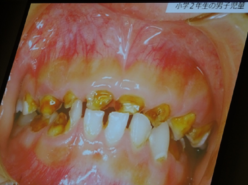
歯科医師 戸井逸美氏講演。(以下)

小学2年生、虫歯ばかり0126_07

0126_08


進学するにつれて歯科受診率が低下(大阪府内)0126_09

高校では、私立のほうが、口腔崩壊がいる高校の率が多い(大阪府内)0126_10

0126_11

大阪府・マスコミと歯科医師会との懇談会を実施。
 6才臼歯(きゅうし)が、歯が悪くなりやすく、大事。

戸井先生、医師会事務局 堤惇一郎事務局長に個人的にお話を伺う。
 横浜市中尾小学校 学校医の江口康久万先生は、本も出されている。
 (『6歳むし歯、12歳むし歯から子どもたちをまもれ 将来の夢のために』扶桑社)
中尾小学校、2年生のために開発した教材、口の向こう側、江口康久万
江口歯科・矯正 歯科口腔外科HP
中尾小学校が全日本学校歯科保健優良校表彰「文部科学大臣賞」を受賞しました!
新潟県が学校歯科検診に一番力を入れている。

円卓会議終了後、南大阪子育て支援ネットワークの内部の会議にお邪魔させて頂き、私からも発言させて頂きました(企業の子育て支援について。子育て支援団体の行政・議員との関わりについて)。

 

㈱の有料老人ホーム『みどりの里』見学

0126_12

常務取締役・代表取締役お2人に2時間お話を伺い、施設を案内して下さいました(泉南市。以下)。
 我々は「水に波紋を広げる為の石を投げるのが仕事」。
 病院で以前、経営の仕事をしていて、本来の医療とは何かと考えさせられた。利用者・家族との空間を大事にしたい。
 利用者がわがまま言ったら、親子ケンカのように対応する事もある。

施設を見学
 入浴の器具、ミスト浴(デモ機)について、常務取締役「明日、海パン履いて入ってみます。自分が使ってみないと分からない」。
 施設で犬を飼っている。
 職員の子供は老人ホームに一緒に来て、一緒に帰る。

家族用の部屋。座敷でお風呂付0126_13

常務取締役「ここで私は死にたい。親を入れたい」。
 「利用者様の最期はご家族様と川の字になって寝て頂きたい」という思いから、畳の部屋にし、ユニッバス(家族様用)付きで、酸素濃縮装置(5ℓ用)も常備。有料老人ホームにポンプは中々無い。24時間点滴も珍しい。吸引も。看取りをしないと言う特養もある。
 医師と24時間連絡がつき、寝泊まりもする。
 亡くなった後、体をきれいにするのを1時間家族と行う。
 グリーフケア(グリーフ=grief)は、深い悲しみという意味。身近な人と死別して悲嘆に暮れる人が、その悲しみから立ち直れるようそばにいて支援する事。一方的に励ますのではなく、相手に寄り添う姿勢が大切といわれる。悲嘆ケア。

老人ホームの畑。少年院を出た子と幼稚園児達を一緒に農作業させた。0126_14玉ねぎ1500株を植えた。

0126_15

松下幸之助さんの言葉が、ホームの入口に0126_16

0126_17

老人ホーム事業を行う前、フィリピンに行って変わった部分がある。
 フィリピンの孤児院(ほぼ障害者)支援は、ボランティアで成り立っている。ダバオで日本人学校を設立した(生徒50人)。
 ロベルテ フィリピン大統領を市長時代から知っているが、貧困層にやさしい。元弁護士。娘が市長。
 フィリピンの子供にガンが多い。フィリピンでの中国の事業は奴隷的扱い。
 ストリート・チルドレンを日本に来させるのに、3年かかったが、今もそれくらいかかる。手続きが今でも大変。スーパーで働いている。
 障害児の孤児院(マザーテレサ系)に毎回行くが、国の援助を受けないのは、理念・自由度が壊れるから。
 フィリピンに行った時、当初、恵んでやってると思うことがはずかしくなった。
 日本の子より、フィリピンで体売ってる子のほうが「家族の為」というプライドがある。日本はそういう意味で平和ボケしている。
 フィリピンからの介護士育成を、日本国が今後大々的にやったら、うさん臭くなると思う。
ホスピタリティプロモーション
みどりの里 ホームページ ←トップページでなく、このページを見たほうが
株式会社 ホスピタリティ FB

関西空港に7時過ぎに着。9時10分までお話を伺い、意見交換。
狭山に0時半に戻り、ひろし事務所。
(3時過ぎに帰宅)